Publicaciones de interés
¿Qué es la prediabetes?
¿Qué es la prediabetes? La prediabetes es un diagnóstico que puede darte el médico por una condición en los niveles de azúcar de tu sangre, es importante que te mantengas al tanto de estas definiciones sobre todo cuando la padeces. Hoy en día muchos no saben qué es la...
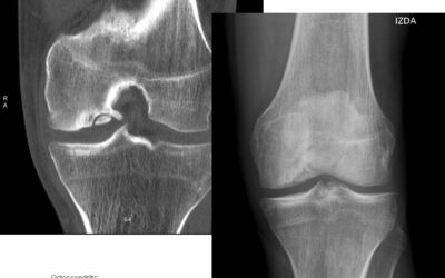
¿Qué es la Osteocondritis?
¿Qué es la Osteocondritis? La Osteocondritis es una afección muy preocupante pues se asemeja en gran medida a los síntomas de un infarto. Pues se trata de la inflamación de los cartílagos que unen a las costillas con el esternón. Representa un problema bastante...
¿Qué es la Metatarsalgia?
¿Qué es la Metatarsalgia? La metatarasalgia es una afección que no muchos conocen pero que una gran parte padece, pues se trata de una inflamación que produce dolor en la bola del pie y puede deberse a actividades como correr, saltar o incluso por genética. Sin...
¿Qué es la lumbalgia?
La lumbalgia es una afección que se da en la parte baja de la espalda o también conocida como lumbares donde dicho origen puede deberse a la estructura esquelética de la columna vertebral. Sí, se trata de un tema complicado pues según las zonas afectadas el...
¿Qué es la Lipotimia?
La lipotimia es lo que se conoce cuando se pierde el conocimiento debido a la pérdida de sangre o la deficiencia de sangre al cerebro. Puede llegar a complicarse o ser muy grave. En este artículo encontrarás toda la información que necesitas acerca de la lipotimia...
¿Qué es la Laringitis?
La laringitis es una irritación o hinchazón de la laringe, es decir, en la zona del cuerpo que está ubicada por encima de las vías respiratorias que conducen los pulmones. Igualmente se trata de una enfermedad complicada. Pero no te preocupes, en este artículo...
Clínica Salud y Vida
Horario:
Lunes a Sábado 9am a 9pm
Domingo 9am a 5pm





